PARIS RETINA VISION

24, rue de Richelieu  75001 – PARIS    |   Lundi – Vendredi : 09h-13h | 14h-19h30   |  +33(0)1.83.81.50.60

Rétinopathie diabétique

Qu'est ce qu'une rétinopathie diabétique ?

La rétinopathie diabétique est la première cause de cécité en France chez les patients de moins de 65 ans.

Il s’agit d’une atteinte grave de la rétine (fond d’œil).

Lorsque la glycémie est déséquilibrée, l’excès de sucre rend les capillaires perméables (fuite de sang) et ischémiques (absence de flux sanguin). Des hémorragies, des anomalies vasculaires et des néo-vaisseaux peuvent alors apparaître en périphérie de la rétine. Ce sont ces signes, visibles au fond d’œil, que l’on va chercher à dépister et quantifier, afin de déterminer le stade de la rétinopathie diabétique en cours. 

Elle peut également se compliquer d’une atteinte centrale, appelée l’œdème maculaire diabétique.

D’autres complications comme le glaucome néo-vasculaire, une cataracte précoce, le décollement de la rétine ou l’hémorragie intra-vitréenne peuvent survenir en l’absence de surveillance et de traitement.

Quels sont les symptômes ?

À un stade débutant, le patient ne présente aucun symptôme majeur.

Parfois des difficultés d’adaptation à l’obscurité peuvent être constatées par le patient, mais son acuité visuelle reste bonne au test de lecture.

C’est pourquoi un dépistage annuel du fond d’œil est recommandé chez les patients diabétiques.

Il ne faut surtout pas attendre l’apparition de symptômes visuels pour consulter (flou visuel ou déformation à la lecture même avec les lunettes, gêne à la conduite la nuit, impression de voile sombre mobile…).

Quels examens?

Pour les patients diabétiques, des examens ophtalmologiques réguliers comme la tomographie par cohérence optique (OCT) ou l’angiographie à la fluorescéine permettent de cartographier précisément la vascularisation rétinienne et d’identifier les zones de saignement, d’œdème ou de prolifération anormale de vaisseaux. 

De nombreuses affections oculaires liées au diabète débutent silencieusement, sans symptômes apparents, jusqu’à ce que des lésions permanentes soient déjà installées.

La détection précoce d’anomalies des vaisseaux sanguins, de fuites de liquide ou d’un œdème maculaire permet de mettre en place des traitements plus efficaces.

Plus ces problèmes sont détectés tôt, meilleures sont les chances de préserver une bonne vision. Des examens réguliers permettent également de faire le point sur votre plan de prise en charge du diabète, votre observance thérapeutique et les éventuels ajustements de votre mode de vie.

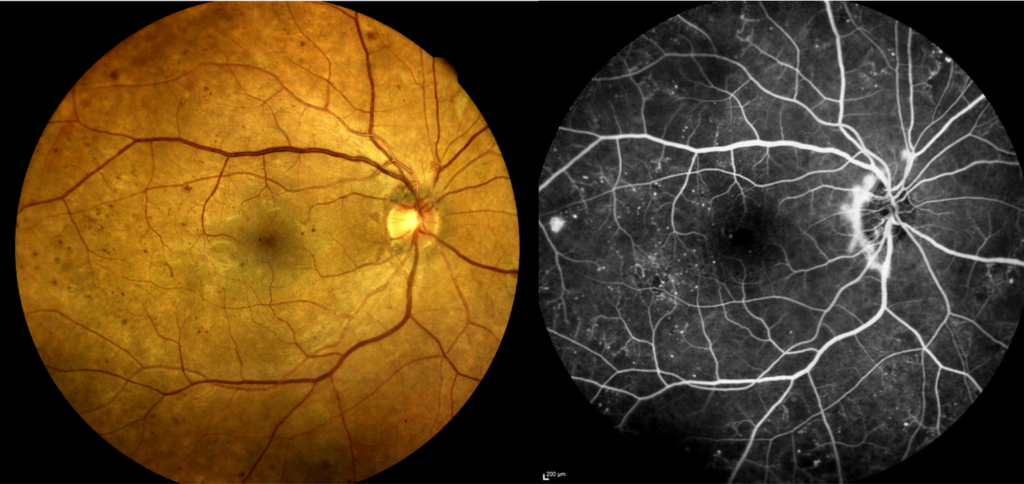
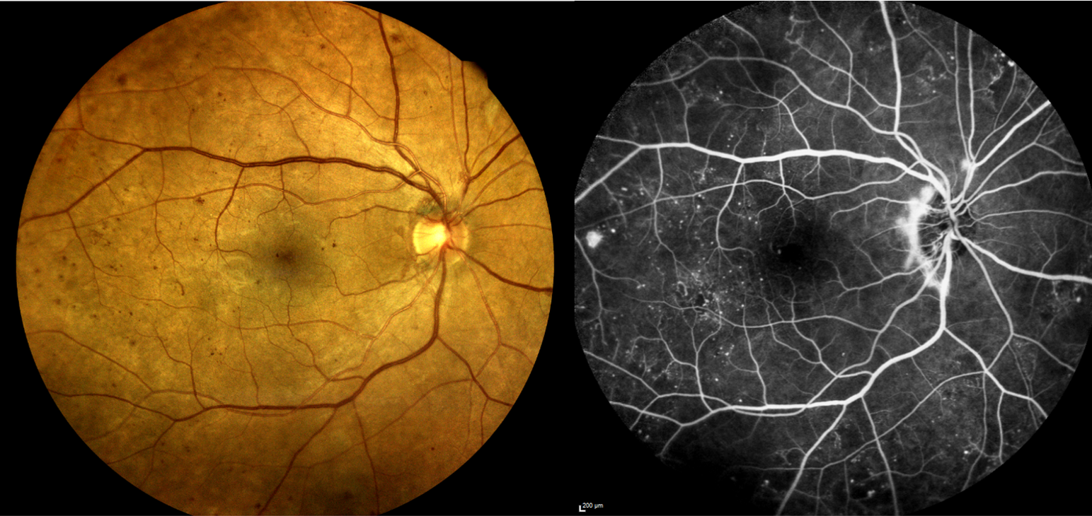
Rétinophoto couleurs et angiographie à la fluorescéine, montrant une rétinopathie diabétique proliférante avec des hémorragies et des néovaisseaux pré papillaires.

Quels sont les traitements ?

Sur le plan général, l’équilibre de la glycémie est le traitement de première intention avec la recherche d’autres facteurs systémiques comme la tension artérielle ou l’apnée du sommeil, sans quoi les traitements ophtalmiques n’auront qu’une efficacité limitée. 

Selon le stade de la rétinopathie diabétique, des traitements au laser ou chirurgicaux peuvent être proposés.

La photo-coagulation pan-rétinienne est un traitement au laser réalisé sur plusieurs séances et ciblé sur la rétine périphérique. Il vise à prévenir ou stopper la prolifération des néo-vaisseaux, responsables de nombreuses complications (glaucome néo-vasculaire, hémorragie intra-vitréenne, décollement de la rétine…) mais n’a pas pour but d’améliorer la vision. C’est pourquoi il doit être précoce pour maintenir un bon pronostic visuel chez le patient.

En cas d’œdème maculaire diabétique, des injections intra-vitréennes pourront être proposées en complément du traitement par laser, afin d’améliorer la vision du patient. Ces traitements peuvent être répétés. 

Lors de complications plus grave telles que le décollement de rétine, l’hémorragie intra-vitréenne ou la cataracte, des interventions chirurgicales seront proposées dans un délai plus ou moins court selon le type d’urgence.

Questions fréquentes

Rétinopathie diabétique

Il est généralement recommandé de réaliser un examen du fond d'œil au moins une fois par an. Votre médecin peut recommander une fréquence plus rapprochée (deux fois par an, par exemple) si votre diabète est moins bien contrôlé ou si des signes de complications sont déjà détectés.

Dès le diagnostic du diabète. Pour le diabète de Type 2, la consultation doit être immédiate. Pour le diabète de Type 1, il est souvent recommandé de faire un premier examen 5 ans après le diagnostic.

Non. Les complications graves, comme la rétinopathie diabétique, sont souvent asymptomatiques à leurs débuts. Attendre des symptômes (vue floue, corps flottants) signifie que des lésions importantes et potentiellement irréversibles sont déjà présentes

La complication la plus courante est la Rétinopathie Diabétique, causée par l'endommagement des petits vaisseaux de la rétine. Le diabète augmente aussi le risque de développer une cataracte (opacification du cristallin) et un glaucome (augmentation de la pression oculaire).

L'examen principal est le fond d'œil, souvent réalisé après dilatation des pupilles. Il permet à l'ophtalmologiste d'examiner directement la rétine, les vaisseaux sanguins et le nerf optique. D'autres examens peuvent être ajoutés, comme l'OCT (Tomographie par Cohérence Optique), pour une cartographie très précise de la rétine.