PARIS RETINA VISION

24, rue de Richelieu  75001 – PARIS    |   Lundi – Vendredi : 09h-13h | 14h-19h30   |  +33(0)1.83.81.50.60

Occlusion
de la branche veineuse​ rétinienne (OBVR)

Rétinophotos couleurs montrant une occlusion de la veine centrale de la rétine, avec hémorragies en flammèches et des nodules cotonneux

Qu’est-ce qu’une occlusion veineuse rétinienne (OVR) ?

Une occlusion veineuse rétinienne est un arrêt circulatoire partiel ou total d’une veine de la rétine, le plus souvent au niveau d’un croisement artério-veineu. Il peut toucher la veine centrale de la rétine ou une branche veineuse.

Le sang circule mal, la pression augmente en amont et cela provoque des hémorragies, un œdème et une souffrance rétinienne dans le territoire concerné.

Il s’agit d’un problème général et pas uniquement oculaire. L’origine peut être multifactorielle (hypertension artérielle, tabac, dyslipidémie, trouble cardiaque, diabète…).

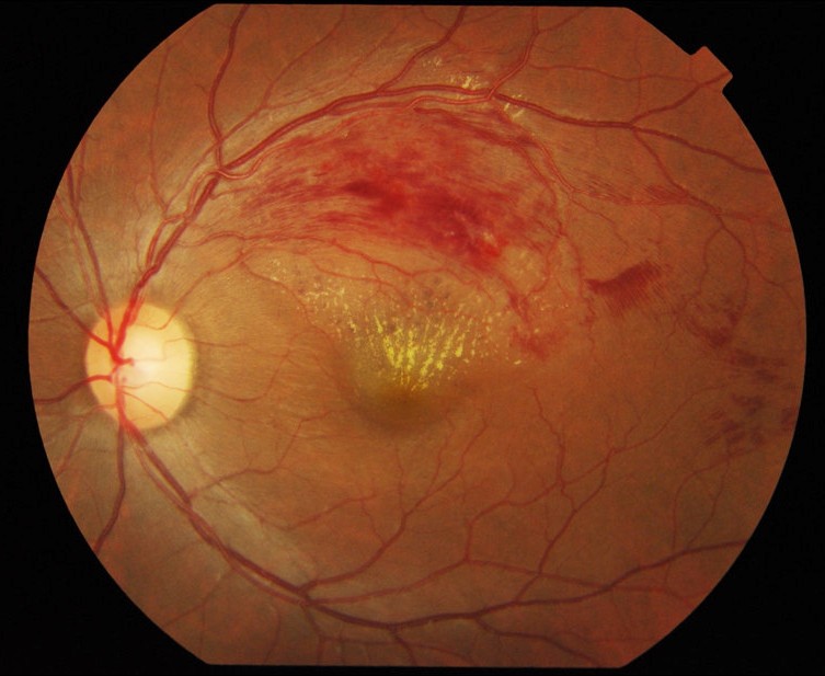
Rétinophotos couleurs montrant une occlusion de branche veineuse inférieure de l’œil droit, avec hémorragies en flammèches et des nodules cotonneux

Quels sont les symptômes d’une OVR ou OBVR ?

Les occlusions veineuses sont indolores mais la baisse de vision est brutale.

L’occlusion de la veine centrale entraine une baisse de vision globale avec une sensation de « rideau noir ».

L’occlusion d’une branche veineuse quant à elle, entraine une perte du champ visuel (supérieur ou inférieur selon la veine touchée).

Exemple de perte du champ visuel inférieur secondaire à une OBVR supérieure
Exemple de perte du champ visuel supérieur secondaire à une OBVR inférieure

Comment diagnostiquer une OVR ?

L’orthoptiste mesure votre vision dans un premier temps. Puis des collyres seront instillés pour dilater les pupilles afin de bien visualiser la rétine du patient.

Des rétinophotos couleurs permettent de visualiser la veine concernée par l’occlusion, la présence d’hémorragies intra rétiniennes, de nodules cotonneux etc … L’OCT objective la présence d’un œdème maculaire et de mesurer son épaisseur. Enfin c’est l’angiographie à la fluorescéine qui nous renseigne sur l’état de la circulation du sang dans les vaisseaux rétiniens et la présence de complications ischémiques périphériques.

Le patient verra flou encore quelques heures après les examens à cause de la dilatation. La conduite est donc déconseillée après la consultation.

Coupe OCT maculaire montrant un œdème maculaire cystoïde post OBVR inférieure.

Comment traiter une OBVR ?

Le traitement dépend des complications retrouvées lors du bilan rétinien : œdème maculaire, ischémie périphérique ….

L’équilibre tensionnel et des facteurs cardiovasculaire est essentiel.

Un traitement par laser argon sera proposé en cas d’ischémie périphérique. Des injections intra vitréennes d’anti VEGF ou de corticoïdes sont proposées en cas d’œdème maculaire.

Un bilan sanguin et cardiovasculaire sera également prescrit

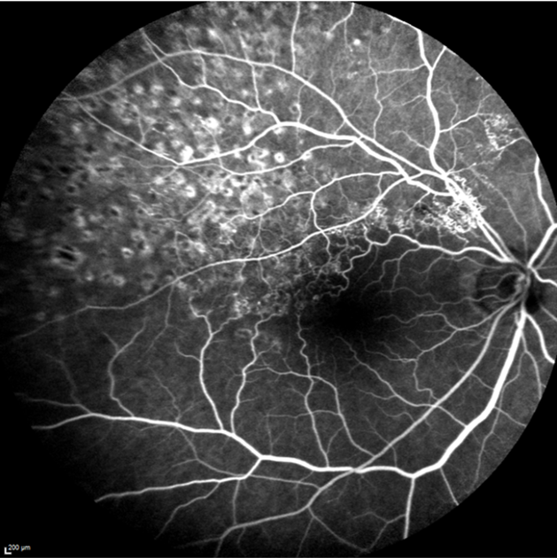
Angiographie à la fluorescéine après traitement par laser rétinien sur la zone ischémique en supérieur (flèches)

Questions fréquentes

Occlusion veineuse​ rétinienne

Baisse de vision brutale et indolore, parfois déformations (métamorphopsies) si la macula est atteinte

L'Occlusion Veineuse Rétinienne est souvent liée à des problèmes de santé généraux et vasculaires :

  • Hypertension Artérielle (HTA) : C'est le facteur de risque le plus fréquent.
  • Diabète.
  • Hypercholestérolémie (taux élevé de lipides dans le sang).
  • Glaucome
  • Troubles de la coagulation ou maladies cardiaques.

Après un examen clinique complet, nous utilisons des appareils spécialisés pour confirmer le diagnostic :

  • Tomographie par Cohérence Optique (OCT) : Permet d'évaluer le degré de gonflement rétinien (œdème maculaire), la complication la plus fréquente et principale cause de la baisse de vision.
  • Angiographie à la Fluorescéine : Injection d'un colorant pour visualiser les vaisseaux et déterminer l'étendue des zones non perfusées (ischémie)