PARIS RETINA VISION

24, rue de Richelieu  75001 – PARIS    |   Lundi – Vendredi : 09h-13h | 14h-19h30   |  +33(0)1.83.81.50.60

Dégénérescence maculaire liée à l’âge (DMLA)

DMLA HUMIDE

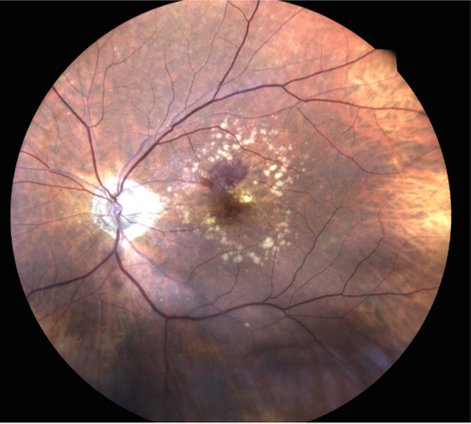
Rétinophoto couleurs montrant une DMLA exsudative avec une hémorragie maculaire et des drusen. Coupe OCT centrée sur la macula avec un œdème et des signes d’exsudation

Qu'est ce que la DMLA ?

La dégénérescence maculaire liée à l’âge (DMLA) est une maladie dégénérative de la rétine d’évolution chronique qui débute après l’âge de 50 ans.

Elle résulte d’un vieillissement trop rapide de la macula (zone centrale de la rétine où l’acuité visuelle est maximale) entraînant une perte progressive de la vision centrale.
La macula occupe la partie centrale de la rétine sur une petite surface (diamètre de 2 mm environ), directement dans l’axe optique. Elle transmet 90% de l’information visuelle traitée par le cerveau.

Il existe deux formes de DMLA : la forme atrophie dite « sèche » et la forme exsudative dite « humide ».

QU’EST CE QUE LA DMLA « HUMIDE » OU EXSUDATIVE ?

Il s’agit de la forme la moins fréquente, mais la plus agressive. Son développement est rapide et elle peut conduire à une perte sévère de la vision centrale.
Elle se caractérise par le développement de petits vaisseaux gorgés de sang au centre de la macula. Ces vaisseaux peuvent saigner, et créer un gonflement de la rétine appelé « œdème maculaire », entrainant ainsi la mort des photos récepteurs.

Les principaux facteurs de risques

L’âge est le premier facteur de risque. Il est rare d’avoir une DMLA à 50 ans, le risque augmente nettement après 60 ans et dépasse les 25% de la population après 75 ans.

Le terrain génétique est important. S’il l’un de vos parents présentent une DMLA, vous êtes plus à risque d’en développer une vous-même. Pensez à en parler à votre ophtalmologiste pour qu’un dépistage précoce soit réalisé. Plus la prise en charge est précoce, meilleures sont les chances de conserver une bonne acuité visuelle.

Le tabac est un facteur de risque non négligeable, puisqu’il multiplie par 2 à 4 le risque de développer une DMLA.

L’alimentation non équilibrée favorise le développement d’une DMLA, notamment la consommation de produits transformés, faible en oméga 3, zinc et anti oxydent.

Les maladies cardio vasculaires, l’hypertension artérielle mal contrôlée, le cholestérol élevé, le surpoids.

Quels SONT LES SYMPTÔMES d’UNE DMLA « HUMIDE » ou EXSUDATIVE ?

La déformation des lignes droites (Métamorphopsies)

C’est le symptôme le plus caractéristique. Les lignes droites (encadrements de portes, bords de fenêtres, lignes d’un tableau) semblent ondulées, courbées ou brisées.

La diminution de la sensibilité aux contrastes

Vous pourriez avoir l’impression que les couleurs sont plus ternes ou que vous avez besoin de plus de lumière pour lire ou effectuer des tâches de précision. Les visages peuvent également paraître moins nets, comme s’ils étaient voilés,

L’apparition d’une tache sombre centrale (Scotome)

Au centre de votre champ de vision, une petite zone floue ou une tache sombre peut apparaître. Cela ne bloque pas la vision périphérique (vous voyez toujours sur les côtés), mais cela empêche de voir précisément ce que vous fixez.

Exemple de vision chez un patient non atteint de DMLA
Exemple de vision chez un patient atteint de DMLA : métamorphopsie et scotome

Quels SONT LES EXAMENS pratiqués pour diagnostiquer une dmla ?

Lors du bilan, l’acuité visuelle est mesurée par l’orthoptiste. Ensuite un OCT maculaire permet de mesurer l’épaisseur de la macula et scanner la rétine à la recherche de signes exsudatifs, inflammatoires, de néovaisseaux… Il est complété par le module OCT Angiographique (OCT-A). Ces mesures servent au diagnostique mais aussi à la surveillance de la DMLA.

Ces premiers examens ne nécessitent pas de dilatation, mais il est courant de réaliser une angiographie à la fluorescéine lors du bilan initial (contre indiquant la conduite après l’examen). Après la dilatation des pupilles, un colorant est injecté dans la veine du bras. Le colorant met en évidence de façon dynamique, la circulation vasculaire maculaire et témoigne de la présence de néovaisseaux.

Coupe OCT maculaire d’un patient atteint de DMLA avec une néovascularisation sous épithéliale (flèche) OCT angiographique révélant la présence d’un néovaisseau (pointillés) Diffusion du colorant en angiographie à la fluorescéine (pointillés).

Comment traiter une dmla « humide » ou exsudative ?

A l’heure actuelle, il n’existe pas de traitement permettant de guérir définitivement la DMLA.

Mais plusieurs approches thérapeutiques peuvent freiner la progression, limiter les symptômes et, dans certains cas, améliorer la vision. Ces traitements doivent être reconduits et espacer progressivement afin de maintenir la meilleure acuité visuelle à long terme.

  • Les anti-angiogéniques ou « anti-VEGF »

Il s’agit du traitement de référence dans la DMLA. Ces médicaments ont pour but d’assécher les néovaisseaux responsables de l’œdème maculaire et de limiter le risque d’hémorragie. En inhibant la croissance des néovaisseaux, ils permettent une stabilisation, voire une régression des lésions.

Leur administration se fait par injection intra-vitréennes (IVT) au cabinet sous anesthésie locale.

Le médicament est injecté directement dans la cavité vitréenne de l’œil. Traitement par IVT au centre Paris Rétina Vision

  • Le laser

Le traitement par laser thermique « chaud » ou la photo thérapie dynamique « laser froid » sont de moins en moins utilisés depuis l’avènement des anti VEGF. Ils peuvent être proposés dans de rare cas, et souvent en complément des injections intra vitréennes.

Traitement par laser rétinien au centre Paris Rétina Vision
Traitement par laser PDT au centre Paris Rétina Vision

Questions fréquentes

DMLA

Elle apparaît le plus souvent après 60 ans, mais peut être détectée dès 50 ans lors d’examens réguliers.

Non. La DMLA n’entraîne aucune douleur. C’est pour cela qu’un dépistage régulier est important.

  • Vision floue ou déformée

  • Droits qui ondulent

  • Difficulté à lire

  • Tâche sombre au centre de la vision

  • Âge

  • Tabac

  • Antécédents familiaux

  • Mauvaise alimentation

  • Cholestérol, hypertension

.

Le traitement est en général au long cours, avec des injections régulières (souvent mensuelles au début), puis espacées selon l’évolution.