PARIS RETINA VISION

24, rue de Richelieu  75001 – PARIS    |   Lundi – Vendredi : 09h-13h | 14h-19h30   |  +33(0)1.83.81.50.60

Occlusion
artérielle rétinienne (OACR)

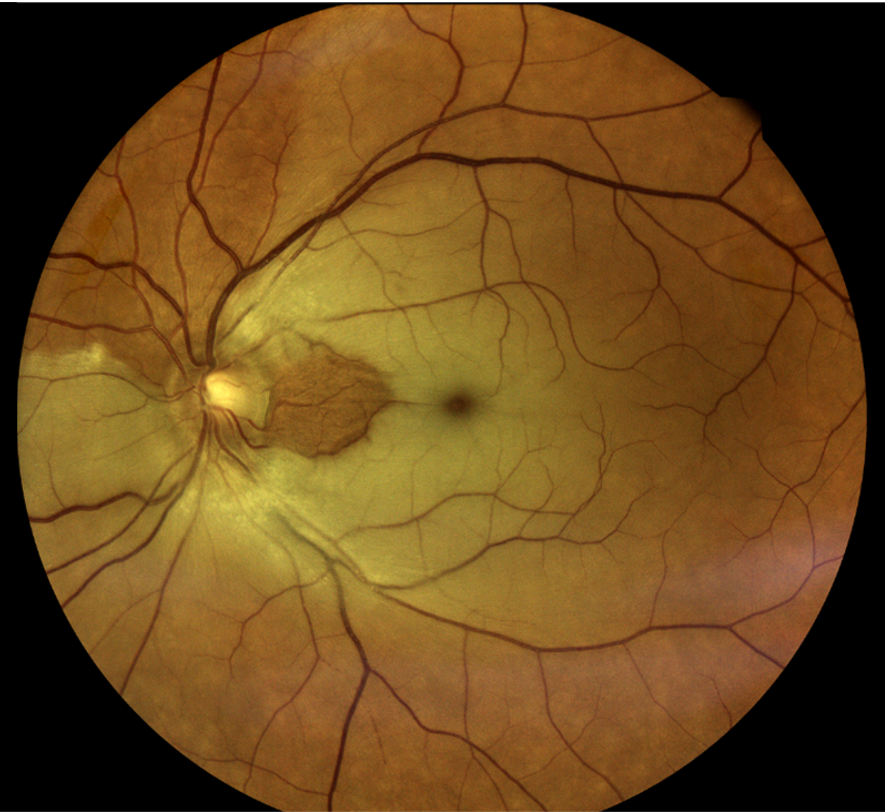
Rétinophotos couleurs d’un patient atteint d’OACR de l’œil gauche avec une « macula rouge cerise »

Qu’est-ce qu’une occlusion ARtérielle rétinienne (OAR) ?

Appelé aussi « l’AVC de l’œil », l’OAR  est une urgence ophtalmologique. Elle survient quand l’artère centrale de la rétine se bouche brutalement, privant ainsi l’oxygénation de la rétine.

Il existe des formes complètes, lorsque l’artère centrale s’obstrue (OACR) et des formes partielles lorsqu’une branche artérielle qui est touchée (OBAR). L’atteinte de l’œil est plus importante lorsqu’il s’agit d’une OACR, et peut aller jusqu’à la cécité.

Plus la prise en charge est précoce, meilleures seront les chances de récupération visuelle.

Quels sont les facteurs de risque d’une occlusion artérielle rétinienne ?

Les causes d’OAR sont multiples et souvent liée à des atteintes cardiovasculaires connues ou découvertes lors du bilan ophtalmologique. L’hypertension artérielle, le diabète, les vascularites sont les causes les plus fréquentes d’OAR. Certains traitements peuvent aussi être à l’origine de l’occlusion artérielle.

C’est pourquoi un bilan cardio vasculaire et un bilan sanguin, sont prescrits systématiquement en cas d’OAR.

Quels sont les symptômes d’une OAR ?

La baisse de la vision est brutale (quelques secondes ou minutes) indolore et ne concerne qu’un œil généralement.

Le patient décrit la sensation « d’un rideau qui tombe », laissant parfois une amputation du champ visuel ou une simple perception lumineuse.

Comment diagnostiquer une OAR ?

L’examen doit être réalisé en urgence. Une mesure de l’acuité visuelle par l’orthoptiste est réalisée, suivie de l’instillation de collyres dans les deux yeux. La dilatation des pupilles permet à l’ophtalmologiste d’explorer le fond d’œil et de réaliser une angiographie rétinienne à la fluorescéine. Un OCT maculaire complète le bilan et met en évidence la présence d’œdème maculaire.

Angiographie à la fluorescéine d’un patient atteint d’OACR de l’œil gauche. Retard circulatoire du colorant visible, persistance d’une perfusion de colorant par l’artère cilio rétinienne.

Comment traiter une OAR ?

Le traitement consiste à équilibrer les facteurs de risque cardiovasculaire.

Sur le plan ophtalmologique, un traitement par laser sur les zones ischémiques sera discuté selon les résultats angiographiques. Les IVT d’anti VEGF peut être associées dans certains cas, pour limiter la dégénérescence des cellules ganglionnaires ou réduire un œdème de la tête du nerf optique.

Coupe en OCT montrant un œdème maculaire avec infiltration des segments internes, des photo récepteurs et un décollement de l’épithélium pigmentaire.