PARIS RETINA VISION

24, rue de Richelieu  75001 – PARIS    |   Lundi – Vendredi : 09h-13h | 14h-19h30   |  +33(0)1.83.81.50.60

Membrane
épirétinienne

Qu’est ce qu’une membrane épirétinienne ?

La membrane épirétinienne est une prolifération cellulaire bénigne. C’est une complication du décollement postérieur du vitrée, qui lui est physiologique. Elle peut être secondaire à une inflammation de l’œil également.

Son évolution est lente, indolore, et parfois asymptomatique. Cette « peau » se développe en général sur la macula et se contracte progressivement, provoquant ainsi un plissement avec un épaississement plus ou moins sévère de la rétine.

membrane épirétinienne

Image Infrarouge 35° : œil droit avec rétine sans anomalie
Image Infrarouge 35° : œil gauche avec plis rétiniens (flèches)

Quels sont les symptômes ?

Les petites membranes n’entrainent pas systématiquement de baisse de l’acuité visuelle. Quand elle se contracte et déforme la macula, elle provoque chez le patient une impression de lettres « qui dansent » ou de déformation (métamorphopsies).

Exemple de vision chez un patient atteint d’une membrane épi rétinienne (métamorphopsie)

Quels sont les examens ?

Le bilan d’une membrane épi rétinienne débute avec la mesure de l’acuité visuelle par l’orthoptiste.

Il s’accompagne ensuite d’un OCT qui permet de voir l’étendu de la membrane et de mesurer l’épaississement maculaire.

Enfin un fond d’œil dilaté sera également réalisé par l’ophtalmologiste pour rechercher des complications périphériques du décollement du vitré.

Quels sont les traitements ?

Les membranes épirétiniennes sont souvent peu évolutives et asymptomatiques.

Cependant, lorsque la membrane entraine une baisse de vision et des déformations, le traitement est uniquement chirurgical.

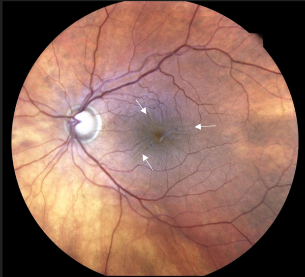
Rétinophoto couleurs d’un œil gauche, présentant une membrane épi rétinienne, plis rétiniens visibles (flèches)
Schéma du pelage de la membrane épi rétinienne (flèches)

Questions fréquentes

Membrane épirétinienne

Non. Si la membrane est fine et n'entraîne qu'une gêne minime, une simple surveillance régulière au centre Paris Rétina Vision par OCT est préconisée. L'intervention est proposée lorsque la baisse de vision ou les déformations deviennent gênantes dans la vie quotidienne (lecture, conduite).

L’opération d’une membrane épi rétinienne est rarement faite en urgence. Le mode d’hospitalisation est ambulatoire. L’anesthésie est dite loco régionale (péri oculaire).

L’intervention est réalisée sous microscope opératoire. Elle consiste à retirer dans un premier temps la partie centrale du corp vitré (vitrectomie) puis à réaliser à l’aide de micro-instruments un pelage de cette membrane à la surface de la rétine. Cette chirurgie peut être combinée à une chirurgie de la cataracte lorsque celle-ci est déjà présente de façon à éviter une deuxième intervention chirurgicale quelque mois plus tard. En effet , il est fréquent qu’une cataracte se développe dans l’année suivant l’intervention. L’amélioration visuelle et des déformations est lente (plusieurs mois) après l’intervention.

Aller au contenu principal