PARIS RETINA VISION

24, Rue de Richelieu  75001- PARIS    |   Lundi – Vendredi : 09h-13h | 14h-19h30   |   +33(0)1.83.81.50.60

Votre centre d'ophtalmologie
situé à Paris 1er

Le centre d’ophtalmologie Paris Rétina Vision met à votre disposition un plateau technique de premier plan entièrement dédié à la vision, la chirurgie de la cataracte, les maladies rétiniennes et la chirurgie réfractive.

Le centre  dispose également d’une salle dédiée  aux injections intravitreennes pour le traitement de la DMLA et des pathologies de la rétine.

Notre équipe vous reçoit dans des délais rapides, pour les consultations d’ophtalmologie ainsi que pour tous les examens complémentaires.

Principales pathologies rétiniennes prises en charge

Paris Rétina Vision est un centre spécialisé dans la prise en charge des maladies de la rétine à Paris.

Nos ophtalmologistes assurent le diagnostic et le traitement de la DMLA, des occlusions veineuses et artérielles rétiniennes, de la vasculopathie polypoïdale, de la choriorétinopathie séreuse centrale, ainsi que des maladies rétiniennes génétiques et des dystrophies rétiniennes génétiques.

Les amétropies

Une amétropie est un défaut de focalisation de la lumière par l’œil. Dans un œil dit « normal » (emmétrope), l’image des objets se forme précisément sur la rétine.

En cas d’amétropie, l’image se forme soit en avant, soit en arrière de celle-ci, ce qui rend la vision floue.

Ces troubles ne sont pas des maladies, mais des anomalies optiques liées à la forme de l’œil (longueur trop courte ou trop longue) ou à une courbure irrégulière de la cornée.

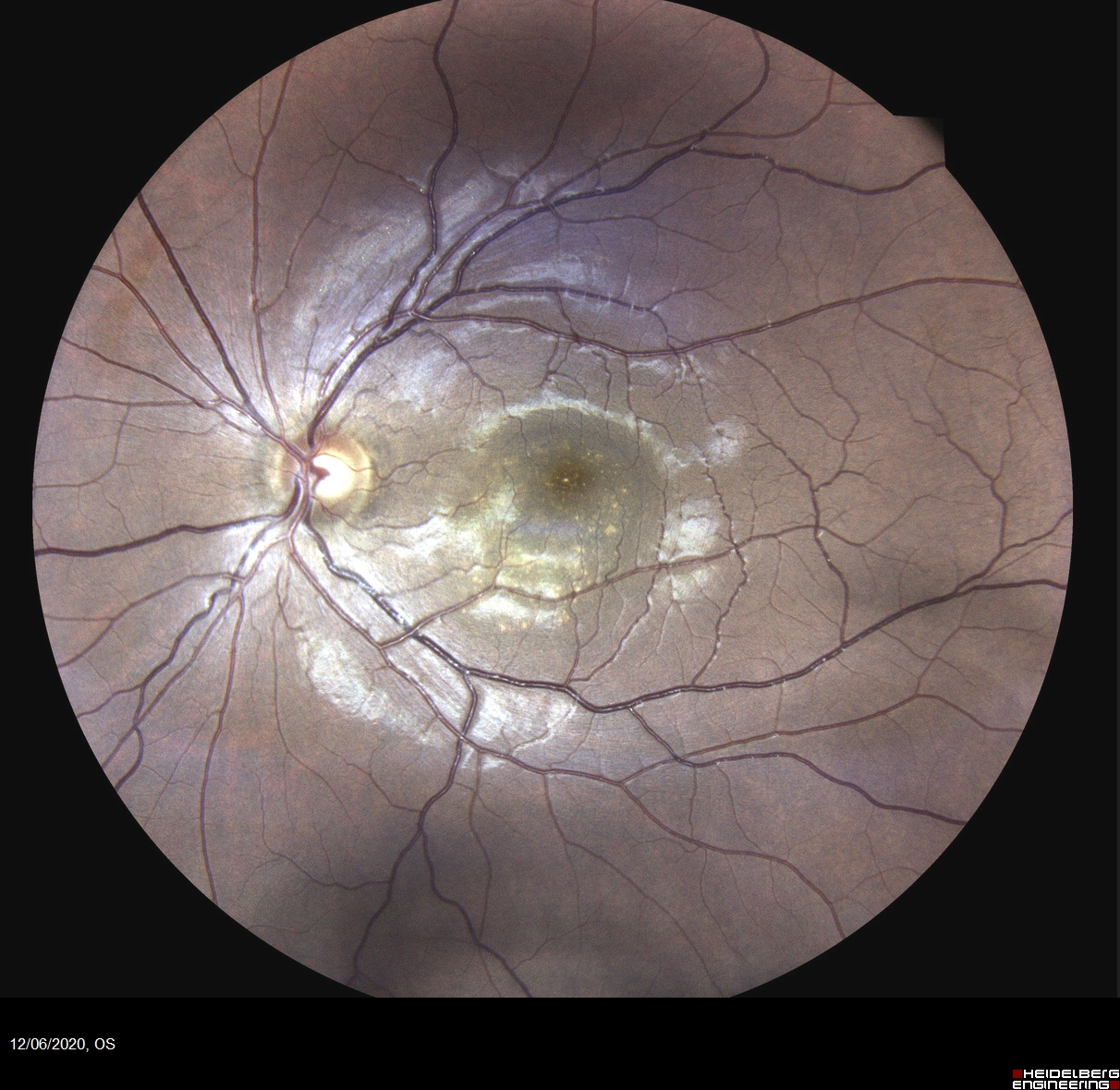
Pathologies maculaires

La macula, zone centrale de la rétine, est essentielle pour la précision visuelle, la lecture et la reconnaissance des visages.

Au centre PARIS RETINA VISION, nos spécialistes traitent l’ensemble de ces affections, de la maladie de Stargardt aux formes complexes comme l’ERD ou la VPC. Grâce à un plateau technique de pointe, nous assurons un diagnostic précis et un traitement adapté à votre pathologie.

Examens

Le centre est équipé d’un plateau technique complet et de dernière génération, permettant d’assurer le dépistage, le diagnostic précis et la prise en charge globale de l’ensemble des pathologies rétiniennes.


Qu’il s’agisse de la DMLA, du glaucome ou de toute autre affection de la rétine, nos équipements et notre expertise garantissent un accompagnement adapté à chaque patient.

Pathologies chirurgicales

Les opérations du cristallin, de la rétine ou du vitré sont toutes réalisées dans une clinique partenaire, qui dispose d’un bloc opératoire spécialisé. Les interventions sont faites en ambulatoire la plupart du temps. Le bilan pré opératoire et le suivi post opératoire se fait au centre Paris Rétina Vision. 

Traitements

Lorsque le diagnostic est posé, le centre Paris Rétina Vision vous permet de poursuivre votre prise en charge en étant traité dans nos locaux. Ainsi tous les traitements non chirurgicaux de type laser ou injection intra-vitréenne, peuvent être réalisés dans des salles dédiées. Vous pouvez également être reçu pour ces traitements sur ordonnance et bénéficier de nos appareils de dernière génération.

Aller au contenu principal